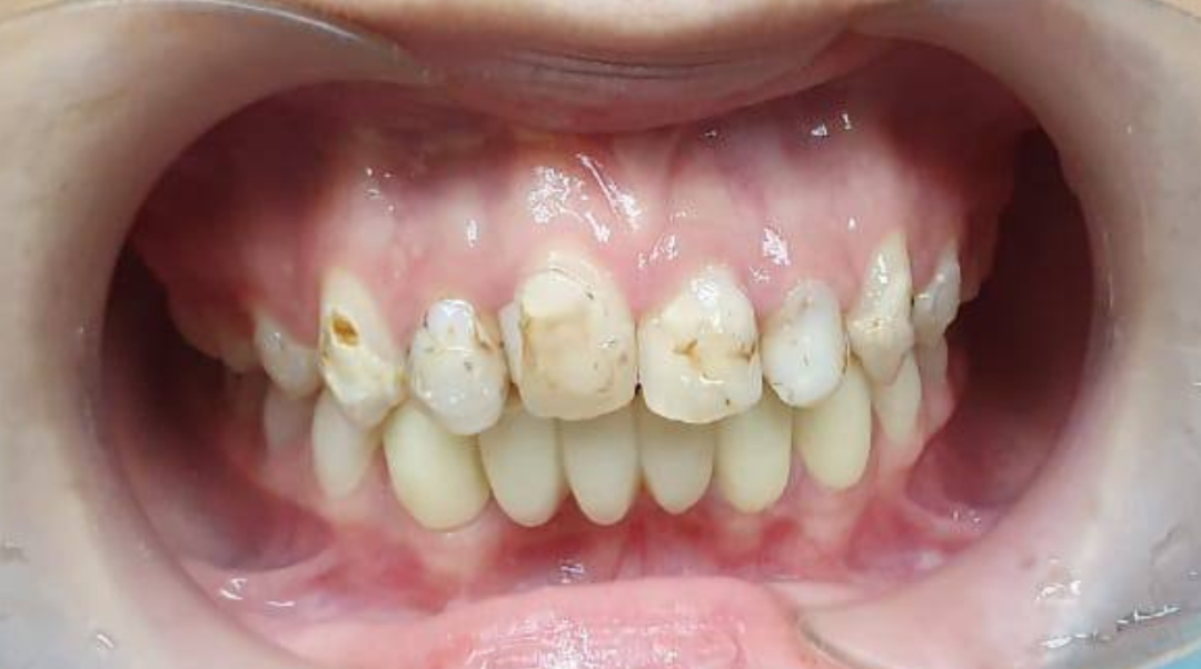
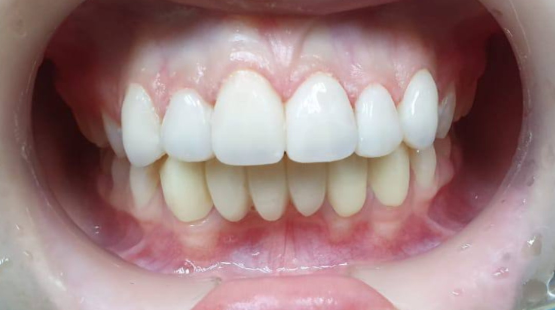
Drag or swipe the green arrow to the left or right to see the before & after effect.
Services
Veneer
Custom Dental Veneers For A Flawless, Natural-Looking Smile With Enhanced Shape, Color, And Long-Lasting Confidence.
Dental veneers are thin, custom-made shells placed on the front surface of teeth to improve appearance.
They are a popular cosmetic dentistry treatment used to fix discoloration, chips, gaps, and uneven shapes—giving you a brighter, more confident smile.
Patients may arrange an appointment in advance or walk in directly at any of our clinic branches for consultation and treatment.
Book Your Dental Check-Up Today!
Why Choose Veneers?
Veneers are recommended for patients who want a long-lasting cosmetic solution for:
- Stained or discolored teeth (not responding to whitening)
- Chipped, cracked, or uneven teeth
- Gaps between teeth (diastema)
- Teeth that look too small, worn, or misshaped\
- Desire for a smile makeover or digital smile design
Types of Veneers at KPS Dentalcare
Porcelain Veneers
- Made from strong, natural-looking ceramic material
- Highly durable and resistant to stains
- Mimic the look of natural enamel
- Best for long-term cosmetic results (10–15 years with proper care)
Composite Veneers
- Made from tooth-colored resin
- Applied directly and shaped in one visit
- More affordable than porcelain
- Great option for quick fixes or budget-friendly smile improvements
- Lifespan around 4–7 years with good care
Signs You May Need Veneers:
- Teeth appear yellow, brown, or permanently stained
- Teeth look chipped, uneven, or worn down
- You feel insecure about smiling in photos
- Small gaps or misalignment make your teeth look uneven
Benefits of Dental Veneers
- ✅ Instant cosmetic improvement in just 1–2 visits
- ✅ Long-lasting, natural-looking results
- ✅ Stain-resistant (especially porcelain)
- ✅ Boosts confidence and enhances your overall smile
- ✅ Can be combined with other cosmetic treatments like teeth whitening or braces
Tips for Caring for Veneers
- ✔Brush twice daily with fluoride toothpaste
- ✔Floss daily to protect gum health
- ✔Avoid biting hard objects (ice, pens, fingernails)
- ✔Limit staining foods and drinks (coffee, tea, red wine)
- ✔Visit your dentist every 6 months for check-ups
- ✔Consider using a night guard if you grind your teeth
Before & After
📸 Before & After: discolored teeth → bright, aligned veneers
From Dental Fear to a Confident Smile
Why Choose
Our Clinic
Don’t wait until dental problems become serious. Schedule your appointment today or visit any of our clinic branches directly.
We are ready to help you receive the best treatment for a healthier smile.
Modern Technology
Equipped With The Latest Modern Technology.
Experienced Dentists
Professional Treatment By Patient-Friendly Dentists.
Customized Treatment Plans
Solutions Tailored To Individual Needs.
Affordable Prices
Transparent And Affordable Treatment Costs For All Patients.
Appointment & Inquiry Form
Please fill out the form below and we will get back to you as soon as possible.
"*" indicates required fields

