Drag or swipe the green arrow to the left or right to see the before & after effect.
Services
Scaling For Teeth
Professional And Gentle Scaling For Teeth To Remove Plaque And Tartar For A Healthier And Brighter Smile.
We provide professional Dental Scaling services to maintain healthy teeth and gums.
Dental scaling could help removes plaque and tartar to prevent gum disease, freshen breath, and maintain a healthy smile.
Patients may arrange an appointment in advance or walk in directly at any of our clinic branches for consultation and treatment.
Book Your Dental Check-Up Today!
What is a Scaling?
Scaling for Teeth or Dental Scaling (teeth cleaning) is a fundamental preventive dental treatment designed to remove plaque and hardened tartar (calculus) from the surface of teeth and along the gumline. Tartar forms when plaque hardens due to minerals in saliva, and it cannot be removed by brushing alone.
If left untreated, tartar buildup can cause bleeding gums, swollen gums, bad breath, and gum disease (periodontitis), which may eventually lead to loose or lost teeth.
Why Do You Need Scaling?
- Remove Plaque & Tartar
- Scaling for Teeth removes stubborn tartar that brushing cannot. This helps prevent swollen gums, bleeding, and chronic gum problems.
- Scaling for Teeth removes stubborn tartar that brushing cannot. This helps prevent swollen gums, bleeding, and chronic gum problems.
- Prevent Gum Disease (Periodontitis)
- Regular scaling prevents periodontitis, a serious gum infection that damages bone support. Without treatment, teeth may become loose and fall out prematurely.
- Regular scaling prevents periodontitis, a serious gum infection that damages bone support. Without treatment, teeth may become loose and fall out prematurely.
- Fresher Breath
- Bad breath is often caused by bacteria hiding in tartar. By cleaning it away, scaling restores fresher breath, boosts confidence, and makes social interactions more comfortable.
- Bad breath is often caused by bacteria hiding in tartar. By cleaning it away, scaling restores fresher breath, boosts confidence, and makes social interactions more comfortable.
- Smoother Teeth Surface
- After scaling, teeth are polished, leaving surfaces smoother and making it harder for plaque to stick again. The result: cleaner, shinier, and healthier-looking teeth.
- After scaling, teeth are polished, leaving surfaces smoother and making it harder for plaque to stick again. The result: cleaner, shinier, and healthier-looking teeth.
- Cost-Effective Prevention
- Scaling for teeth is far more affordable than treating advanced dental issues like fillings, root canals, crowns, implants, or tooth replacement.
Signs You May Need Scaling
- Bleeding gums while brushing or flossing
- Persistent bad breath despite good oral hygiene
- Noticeable yellow or brown tartar between teeth and along gums
- Gum recession and tooth sensitivity
- Loose teeth or frequent food stuck between teeth
Scaling Does NOT Thin or Damage Enamel
If your teeth feel “lighter” or “spaced” after scaling, it’s because thick tartar has been removed—not because your tooth surface was shaved.
Recommended:
Every 6 months, or every 3–4 months if you smoke, have gum problems, or diabetes.
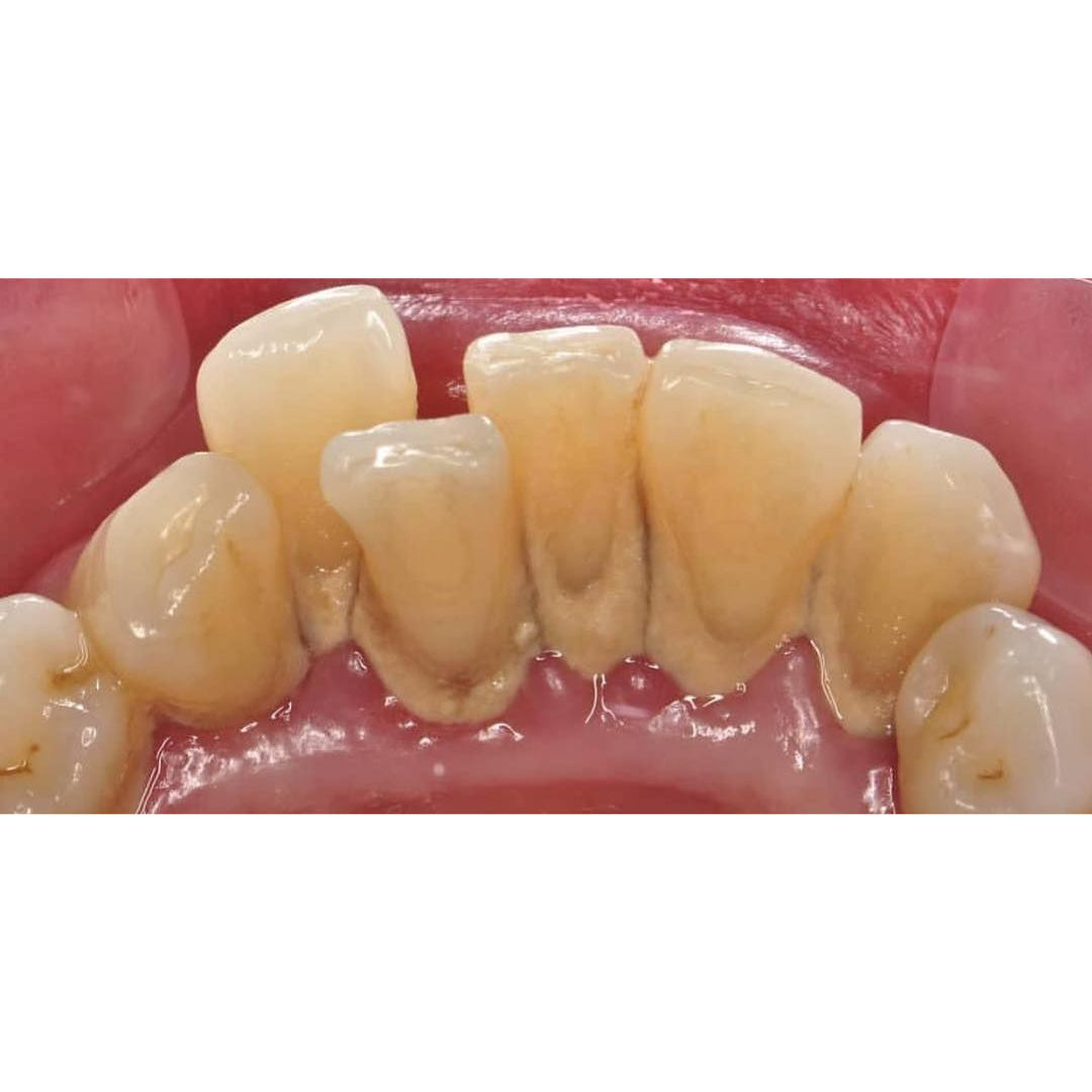
Before & After
📸 Before & After: Scaling Results
From Dental Fear to a Confident Smile
Painless Scaling
We provide Guided Air Polishing System (GAPS) services for patients who want a more comfortable dental cleaning experience.
Book Your Dental Check-Up Today!
Unlike conventional one, painless scaling uses a gentle spray of water mixed with fine powder (air polishing) to remove plaque and stains. It is quieter, more comfortable, and ideal for patients who are afraid of dental treatments.
Benefits of Painless Scaling
- More Comfortable → Gentle ultrasonic vibrations + water spray = faster cleaning without strong pressure.
- Less Sensitivity → Modern technology + experienced dentists minimize discomfort. For sensitive patients, a mild numbing gel can be applied.
- Quick & Efficient → Full cleaning usually completed within 30–45 minutes.
- Stress-Free Experience → No scary drilling noises, making it suitable for children and adults with dental anxiety.
- Healthier Gums → Encourages more patients to attend regular checkups, lowering risk of gum disease, bad breath, and tooth loss.
Safe for Enamel → Only removes plaque and tartar — it does not damage tooth structure.
Signs You May Need Painless Version
- Bleeding gums during brushing or flossing
- Chronic bad breath (halitosis)
- Thick yellow or brown tartar deposits
- Gum recession or tooth sensitivity
- Loose teeth or frequent food impaction
- Haven’t had a dental check-up for more than 6 months
Best Choice for Patients with Dental Anxiety
Many patients delay scaling due to fear or trauma. With painless scaling, treatment is more comfortable, making it the perfect solution for both adults and children who are nervous about dental visits.
Before & After
📸 Before & After: Painless Scaling
Drag or swipe the green arrow to the left or right to see the before & after effect.
From Dental Fear to a Confident Smile
Why Choose
Our Clinic
Don’t wait until dental problems become serious. Schedule your appointment today or visit any of our clinic branches directly.
We are ready to help you receive the best treatment for a healthier smile.
Modern Technology
Equipped With The Latest Modern Technology.
Experienced Dentists
Professional Treatment By Patient-Friendly Dentists.
Customized Treatment Plans
Solutions Tailored To Individual Needs.
Affordable Prices
Transparent And Affordable Treatment Costs For All Patients.
Appointment & Inquiry Form
Please fill out the form below and we will get back to you as soon as possible.
"*" indicates required fields

