Services

Retainer

We provide Retainer Hawley, Essix, Fixed & Mouth Guard Teeth services to help patients maintain their teeth alignment after orthodontic treatment.

These custom devices keep your teeth in their proper position, prevent relapse after braces, and safeguard your teeth during sports or sleep.

Patients may arrange an appointment in advance or walk in directly at any of our clinic branches for consultation and treatment.

Book Your Dental Check-Up Today!

What is Retainer for Teeth?

A retainer is a custom-made dental appliance worn after orthodontic treatment (braces or clear aligners) to keep teeth in their corrected position. Retainers help prevent teeth from shifting back and ensure your smile stays aligned and healthy for years.

At KPS Dentalcare, we provide different types of retainers to suit your needs, from clear invisible retainers to durable wire retainers and protective night guards.

Why Do You Need a Retainer?

✅ To maintain results after braces or aligners
✅ Prevent teeth from shifting or becoming crooked again
✅ Support bone and gums while stabilizing new tooth positions
✅ Reduce risk of relapse after orthodontic treatment
✅ Provide protection from teeth grinding (bruxism) or jaw clenching at night

Types of Retainers at KPS Dentalcare

🔹 Essix Retainer (Clear Retainer)

  • Made of clear plastic, almost invisible
  • Fits snugly over teeth like a clear aligner
  • Comfortable and aesthetic, popular among adults
  • Best for patients who want a discreet look

🔹 Hawley Retainer (Wire Retainer)

  • Acrylic plate with a thin metal wire across front teeth
  • Very durable and adjustable by the dentist
  • Long-lasting option, though slightly visible
  • Suitable for patients needing a sturdy retainer

🔹 Fixed Retainer (Bonded Retainer)

  • A thin wire permanently bonded behind the teeth
  • Invisible from the outside
  • Ideal for patients with high risk of relapse
  • Provides continuous support without daily removal

🔹 Mouth Guard / Night Guard

  • Specially made for patients who grind or clench teeth (bruxism)
  • Protects teeth from wear, cracks, and jaw discomfort
  • Worn mostly at night during sleep
  • Helps reduce TMJ (jaw joint) pain and headaches

Benefits of Wearing a Retainer

✅ Keeps your smile aligned after orthodontic treatment
✅ Prevents costly repeat orthodontic procedures
✅ Protects teeth from damage caused by grinding or clenching
✅ Easy to wear, clean, and maintain
✅ Customized for maximum comfort and fit

Tips for Caring for Your Retainer

  • Clean your retainer daily with mild soap & water (not hot water)
  • Store in a protective case when not in use
  • Avoid chewing gum or eating while wearing removable retainers
  • Visit your dentist if retainer feels loose or uncomfortable
  • Replace retainers when worn out to maintain effectiveness

Symptoms & Situations Where Retainers are Needed

  • Recently removed braces or clear aligners
  • Teeth shifting or feeling “out of place”
  • Jaw pain or headaches due to teeth grinding
  • Wearing down or cracking of teeth from bruxism
  • Desire to maintain a perfectly straight smile

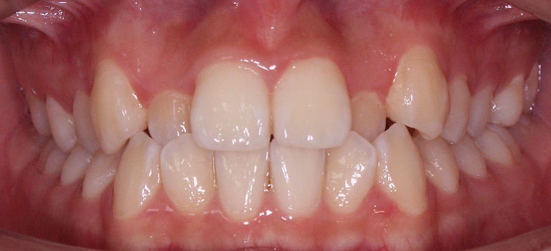
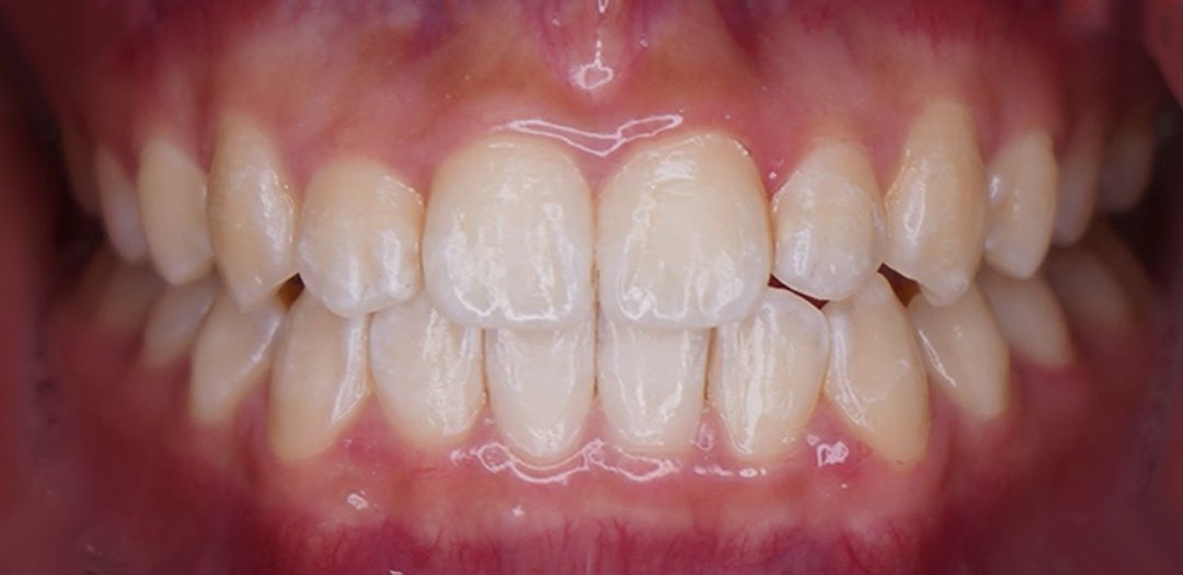
Before & After

📸 Before: crooked relapse after braces

📸 After: straight teeth maintained with retainer


Drag or swipe the green arrow to the left or right to see the before & after effect.

Retainer Teeth | KPS Dentalcare Retainer Teeth | KPS Dentalcare

From Dental Fear to a Confident Smile

Why Choose
Our Clinic

Don’t wait until dental problems become serious. Schedule your appointment today or visit any of our clinic branches directly.

We are ready to help you receive the best treatment for a healthier smile.

Send Appointment / InquiryView Branches

Appointment & Inquiry Form

Please fill out the form below and we will get back to you as soon as possible.

"*" indicates required fields

This field is for validation purposes and should be left unchanged.
MM slash DD slash YYYY