Drag or swipe the green arrow to the left or right to see the before & after effect.
Services
Bridge
Bridge For Teeth Helps Replace Missing Teeth, Restore Function, And Enhance Your Smile With Natural-Looking Results. Explore Maryland, Cantilever & Traditional Dental Bridges For A Confident Smile
A Dental Bridge or Bridge For Teeth is a type of fixed prosthetic device used to replace one or more missing teeth.
It literally “bridges” the gap left by missing teeth by anchoring onto the natural teeth or implants next to the space.
Patients may arrange an appointment in advance or walk in directly at any of our clinic branches for consultation and treatment.
Book Your Dental Check-Up Today!
Why Do You Need a Dental Bridge?
- To replace missing teeth and restore chewing ability
- To improve speech clarity
- To prevent shifting of nearby teeth
- To maintain facial structure & jaw alignment
Types of Dental Bridges We Offer:
Traditional Bridge
- Most common type
- Uses crowns on both sides of the gap with a false tooth (pontic) in the middle
- Strong & reliable for replacing back or front teeth
Cantilever Bridge
- Anchored on only one side of the gap
- Suitable when only one supporting tooth is available
- Best for areas with less bite pressure
Maryland Bridge (Resin-Bonded Bridge)
- Uses metal or porcelain wings bonded to the back of adjacent teeth
- Conservative option with minimal tooth preparation
- Often used for replacing front teeth
Implant-Supported Bridge
- Supported by dental implants instead of natural teeth
- Most stable & long-lasting option
- Prevents bone loss and preserves jaw structure
Signs You May Need a Dental Bridge
- One or more missing teeth in a row
- Difficulty chewing or biting
- Noticeable gap in your smile
- Teeth shifting or tilting into empty space
- Changes in your bite or jaw discomfort
- Reduced confidence due to missing teeth
Benefits of Dental Bridges:
- ✅ Restores function for chewing & speaking
- ✅ Prevents shifting of surrounding teeth
- ✅ Improves smile aesthetics & confidence
- ✅ Provides a fixed, durable solution (unlike dentures)
- ✅ Long-lasting with proper care
Tips to Maintain Your Dental Bridge:
- ✔Brush twice daily with fluoride toothpaste
- ✔Use floss threaders or interdental brushes to clean under the bridge
- ✔Avoid chewing very hard or sticky foods
- ✔Maintain regular dental check-ups & professional cleanings
- ✔If implant-supported: follow care instructions carefully to keep gums healthy
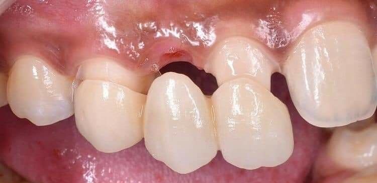
Before & After
📸 Before: Gap from missing teeth
📸 After: Complete smile restored with bridge
From Dental Fear to a Confident Smile
Why Choose
Our Clinic
Don’t wait until dental problems become serious. Schedule your appointment today or visit any of our clinic branches directly.
We are ready to help you receive the best treatment for a healthier smile.
Modern Technology
Equipped With The Latest Modern Technology.
Experienced Dentists
Professional Treatment By Patient-Friendly Dentists.
Customized Treatment Plans
Solutions Tailored To Individual Needs.
Affordable Prices
Transparent And Affordable Treatment Costs For All Patients.
Appointment & Inquiry Form
Please fill out the form below and we will get back to you as soon as possible.
"*" indicates required fields

